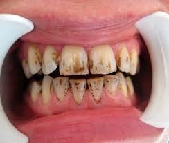
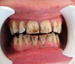
La caries dental es el daño que le puede ocurrir a un diente cuando las bacterias que causan caries que se encuentran en la boca producen ácidos que atacan la superficie del diente o esmalte.
Esto puede resultar en un pequeño agujero en el diente, al que se le llama caries. Si la caries dental no se trata, puede causar dolor, una infección e incluso la pérdida del diente
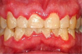
La gingivitis es el término médico que se emplea para definir la inflamación de las encías. Es una forma leve de enfermedad gingival y tiende a tener como resultado unas encías inflamadas y enrojecidas y a provocar el sangrado del tejido gingival, en especial cuando te cepillas o usas el hilo dental o muerdes algo duro como una manzana.
• La periodontitis es una forma grave de gingivitis en la que la inflamación de las encías se propaga a las estructuras que sostienen la pieza dental. La placa y el sarro se acumulan entre las piezas dentales y las encías, y posteriormente invaden el hueso situado debajo de las piezas.
• Los dentistas hacen radiografías y miden la profundidad de las bolsas en las encías (bolsa gingival) para determinar la gravedad de la periodontitis. Se requieren limpiezas profesionales frecuentes, y a veces cirugía dental y tratamiento antibiótico.
El traumatismo dental puede ocurrir durante caídas, lesiones deportivas o accidentes de coche. El trauma puede variar desde una simple laceración de labios hasta una fractura de diente e incluso una fractura en los huesos de la mandíbula.
Los traumatismos pueden producir lesiones en los tejidos dentales duros o lesiones en los tejidos periodontales o tejidos de soporte de los dientes.
La pericoronitis es la inflamación del tejido de las encías alrededor de una muela del juicio impactada. El crecimiento de tejido blando sobre una muela del juicio parcialmente erupcionada se llama opérculo.
El opérculo es, esencialmente, un colgajo de tejido de las encías que tiende a contener partículas de alimentos, lo que hace que las bacterias florezcan. Esto provoca la inflamación y luego la formación de un absceso debajo del opérculo. Si el absceso no se trata, la infección se propagará y eventualmente conducirá a una pericoronitis.
Pese a lo que pueda parecer el absceso dental es una de las afecciones más comunes que vemos en la clínica dental. Se trata, básicamente, de una acumulación de pus en las estructuras orales.
El origen de este problema es bacteriano, es decir, son las bacterias de la boca las que están detrás de la aparición de estas lesiones tan desagradables.
La maloclusión dental es un problema de nuestra boca que consiste en una incorrecta alineación de los dientes. El paciente puede presentar una diferencia de tamaño entre mandíbulas o entre mandíbula y diente. Cuando una persona sufre este problema, las piezas dentales superiores no encajan bien en la mordida con las inferiores.
Se puede deber a cualquier alteración del crecimiento óseo del maxilar o de la mandíbula y/o posición de los dientes, lo que impide una correcta función del aparato masticatorio. El 75% de los niños y adolescentes presentan un cierto grado de trastorno oclusal. Dentro de este porcentaje, el 37% se tratan de maloclusiones severas.
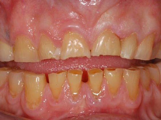
Para poder tener unos dientes sanos y fuertes, se debe tomar en cuenta la higiene bucal. Cuando aparecen esas incómodas manchas en los dientes que hacen perder la estética dental, ya que estas manchas pueden ser de color negro, blanco e incluso de un tono marrón oscuro. Cuando se presentan este tipo de caso es necesario acudir a un especialista que nos guíe y nos ayude a solucionar este problema.
Estas manchas en muchos casos pueden llegar a producir sensibilidad pasajera, pero en realidad se trata de un problema más común de lo que pensamos. Una gran cantidad de personas creen que tener manchas en los dientes se trata de un problema solo estético, y en realidad no es así ya que estas manchas pueden ser causadas por acumulación de baterías en la placa o por causa de una mala alimentación.
Sin duda una de las cosas que más aquejan a muchas personas y muchas veces las mismas no son capaces de darse cuenta, es la Halitosis, para quienes no están relacionados con éste término, la Halitosis es el mal aliento. El meollo con la Halitosis muchas veces es que no se sabe de dónde proviene y no solo basta con comer una menta para eliminar este mal olor.
La estomatitis aftosa recidivante (aftas bucales o úlceras aftosas) consiste en la aparición de lesiones pequeñas y dolorosas (úlceras) en el interior de la boca. Generalmente comienza en la infancia y recurre con frecuencia. Las lesiones bucales, el estrés y ciertos alimentos pueden desencadenar una crisis. El paciente siente un dolor quemante y, al cabo de un día o algo más, aparece un afta en la mucosa de la boca. El médico o el dentista diagnostican la lesión basándose en el dolor y en la aparición del afta. El tratamiento consiste en enjuagues bucales y, a veces, corticoesteroides.
El bruxismo, es una patología que sufre aproximadamente un 70% de la población en México y que consiste en apretar de forma inconsciente la mandíbula y rechinar los dientes, produciendo el desgaste de los mismos. Puede darse tanto por el día como por la noche, aunque el más frecuente es el que se produce durante el sueño.
La mayoría de las veces, la persona afectada no es consciente de que tiene bruxismo hasta que otra le advierte de que al dormir rechina los dientes, o es el dentista quien le informa tras realizarle una revisión dental rutinaria.
Con el paso del tiempo todo en nuestro cuerpo envejece y por lo tanto, también lo hacen nuestros dientes. El desgaste dental se define como la pérdida de tejido del diente, comenzando por la parte más dura del mismo, el esmalte y pudiendo llegar a la más blanda llamada dentina.
Esta pérdida de grosor no debe preocuparnos pero debes alertarte si el envejecimiento es de forma prematura. Esto puede deberse a diversos factores como hábitos perjudiciales, estrés, mala oclusión o incluso erosiones químicas, como reflujo, vómitos o exceso de consumos ácidos.